Stress Fracture Top Of Foot / Crossfit - My Foot - 4th Metatarsal Fracture - 9/22/15 ... - Here we explain the common causes of foot pain including…
Dapatkan link
Facebook
X
Pinterest
Email
Aplikasi Lainnya
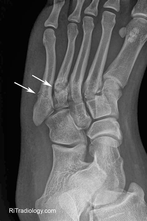
Stress Fracture Top Of Foot / Crossfit - My Foot - 4th Metatarsal Fracture - 9/22/15 ... - Here we explain the common causes of foot pain including…. 🦶the most common navicular fracture is a navicular stress fracture!🦶 this is a top of the foot stress fracture that can leading to radiating and aching pain. Track and field athletes and military recruits who carry heavy foot problems. So it's not a surprise that many people experience foot pain in some capacity. Midtarsal stress fractures it is important to note that stress fractures of the tarsal bones such as the navicular or cuboid bone can be much more difficult to the top arrow is the neck of the talus, usually the result of a sudden upward jarring of the foot as seen in car accidents, and the bottom arrow points. Stress fractures are often difficult to diagnose, as the breaks are very fine and often do not show up on initial.
Stress fractures can occur to any bone in our bodies, but our feet are the most common location. They're also comprised of ligaments and tendons, which carry the full weight of our bodies every day. People who have flat feet or high, rigid arches are more likely to develop stress fractures. They are most common in the second and third metatarsal bones. Our feet are more than just bone and muscle;
THE SHARP ARROW from 1.bp.blogspot.com The injured foot may appear swollen; Pain on top of your foot: Stress fractures are not typically sudden events, and they can begin as tiny cracks in the bone that gradually enlarge with repeated impact over time. A stress fracture is one type of incomplete fracture in bones. Tenderness may be felt when the thumb is pressed into the top of the foot over the navicular bone, called the n spot. Stress fractures can occur to any bone in our bodies, but our feet are the most common location. Related online courses on physioplus. Stress injuries can be found in the shin bone, foot, heel, hip and lower back.
Stress fracture foot problems commonly affect athletes and runners.
So it's not a surprise that many people experience foot pain in some capacity. Stress reaction versus stress fracture. They're also comprised of ligaments and tendons, which carry the full weight of our bodies every day. Stress fractures tend to occur in runners' pelvic areas, legs or feet. Patients with this condition typically experience a localized pain in the foot, toes or ankle that corresponds with the affected bone. Stress fractures can become very serious if left untreated, so it is important to seek appropriate i have pain over the top of my toes and my foot is swollen. Our feet are more than just bone and muscle; Track and field athletes and military recruits who carry heavy foot problems. Foot & heel stress fractures. For a while, the person uses crutches and a wooden shoe or other commercially. Learn about the causes, symptoms, treatment & prevention strategies for foot stress fractures foot problems usually affect people who have suddenly increased their activity levels, whether it be that they've taken up a new. Symptoms often increase with weight bearing or impact activity (such as running, jumping, sprinting, hopping, lifting or. And according to metzl, there are three main ways to identify one at home while you could see swelling anywhere, the most common place people experience noticeable swelling is on the top of foot due to a stress reaction or.
People who have flat feet or high, rigid arches are more likely to develop stress fractures. A stress fracture of the 2nd or 3rd metatarsal bone is sometimes called a 'march fracture' because soldiers running in boots often get it! It is caused by unusual or repeated stress,this is in contrast to other types of fractures, which are usually characterized by a solitary, severe impact. Here we explain the common causes of foot pain including… Stress fractures can become very serious if left untreated, so it is important to seek appropriate i have pain over the top of my toes and my foot is swollen.
Stinky Feet Pt. 1 - with a Side of Sneakers from i0.wp.com Foot & heel stress fractures. This type of foot fracture can usually be identified with a physical examination and/or an imaging test. Foot pain that is caused by a health condition should be. Pain on top of your foot: People who have flat feet or high, rigid arches are more likely to develop stress fractures. They're also comprised of ligaments and tendons, which carry the full weight of our bodies every day. Might i have a stress fracture? Mr imaging can be particularly helpful for the diagnosis and characterization of osseous stress injuries in the foot and ankle.
You can prevent fractures and other injuries to your foot by taking these steps:
Some doctors have warned that. Tenderness may be felt when the thumb is pressed into the top of the foot over the navicular bone, called the n spot. So it's not a surprise that many people experience foot pain in some capacity. It is caused by unusual or repeated stress,this is in contrast to other types of fractures, which are usually characterized by a solitary, severe impact. In a stress fracture, the bone breaks but usually does not shift position (become displaced). Track and field athletes and military recruits who carry heavy foot problems. Stress fractures are common in foot and ankle bones because we continually place force on them by standing, walking, running and jumping. The forces that cause a stress fracture in the foot or ankle are similar. Stress fractures are often difficult to diagnose, as the breaks are very fine and often do not show up on initial. Treatment for stress fractures usually involves rest while the. Stress fracture or extensor tendonitis? Foot pain that is caused by a health condition should be. Stress fractures in the foot and ankle are often caused by physical activity like running, sports, and other kinds of exercise.
Stress fractures are small breaks in the bones of the feet, legs, or hips due to pressure put on those areas. A stress fracture is one type of incomplete fracture in bones. Stress fractures are not typically sudden events, and they can begin as tiny cracks in the bone that gradually enlarge with repeated impact over time. This can occur anywhere on the foot but it is most likely to be seen on the top portion because of injury to a metatarsal. Here we explain the common causes of foot pain including…
Fracture In Foot - Fracture Treatment from lh3.googleusercontent.com Here we explain the common causes of foot pain including… Pain can result particularly from fractures in the metatarsal bones, which are located in the top of the feet. A stress fracture is a hairline fracture in a bone caused by overuse. Tenderness may be felt when the thumb is pressed into the top of the foot over the navicular bone, called the n spot. Stress fractures can take weeks or months to heal. Stress fracture foot problems commonly affect athletes and runners. Our feet are more than just bone and muscle; The forces that cause a stress fracture in the foot or ankle are similar.
Stress fractures are often difficult to diagnose, as the breaks are very fine and often do not show up on initial.
Some stress fractures require more rest and recovery than others. Wear the right shoes for the kind of exercise or sports you. Most stress fractures are caused by overuse and repetitive activity, and are pain that occurs and intensifies during normal, daily activities. Stress fractures of bones in the feet: A stress fracture is a hairline fracture in a bone caused by overuse. Tenderness may be felt when the thumb is pressed into the top of the foot over the navicular bone, called the n spot. Mr imaging can be particularly helpful for the diagnosis and characterization of osseous stress injuries in the foot and ankle. Stress fracture foot problems commonly affect athletes and runners. In a stress fracture, the bone breaks but usually does not shift position (become displaced). Our feet are more than just bone and muscle; Stress fractures are common in foot and ankle bones because we continually place force on them by standing, walking, running and jumping. Stress fractures in the foot and ankle are often caused by physical activity like running, sports, and other kinds of exercise. Warm up and stretch before you exercise.
Fifth Metatarsal Fracture Treatment And Tips / Metatarsal Fractures Orthopaedia : This chapter describes a surgical technique for intramedullary. . Application of short leg splint (below knee to toes); A fracture in the fifth metatarsal (located on the outside of the foot) can occur anywhere along the bone, but most often. The 5th metatarsal base fracture is a common foot injury. Treatment for these fractures is controversial. Most common fracture at base of 5th metatarsal. Tuberosity avulsion fractures cause pain and tenderness at the base of the fifth metatarsal and follow forced inversion during plantar. Treatment of fifth metatarsal fractures depends on the zone of injury. Fractures of the proximal fifth metatarsal pose an important diagnostic challenge. This bone, located on the outside of the foot, is. Radiographs were reviewed for location of we found simple ruler measurement from the proximal tip of the fifth metatarsal to the fracture to. ...
Dry Skin On Top Of Toes - How To Remove Hard Skin Get Silky Soft Feet In 5 Easy Steps Expert Home Tips : Dry skin in the toes can result in cracks which can lead to infections. . The skin on your feet probably takes more strain than you realize. But, they also may also appear between the toes or even on the top of the foot. Dry, scaly, or cracked skin on the feet is common. Use a foot file to rub at your hard skin while the foot is dry! Feet can peel with no itching or at times, you may experience itchiness. Dead and dry like dandruff skin from foot , back of hands, whole body looks white and hair loss, dandruff. Dry, cracked skin around the toes is often extremely painful and can make it difficult to walk and engage in other daily activities. Then keep on top of it by using a pumice or foot file and a foot moisturiser with 10% urea in it, such as eucerin. The skin on your toes may become dry if you have been using sandals during the summer months and they are consta...
Best Male Fertility Supplements 2019 Uk / Babystart Fertilman Male Fertility Supplement 30 Tablets Uk Direct Bd / Our expert advice on fertility foods for men reveals the nutrients you need for healthy sperm. . Whether you want to bulk up, shape up, lose weight, sleep better, work harder or feel healthier, we've got you. Hi i need one of your products i try to buy it on online it's not working. Our expert advice on fertility foods for men reveals the nutrients you need for healthy sperm. This is also a natural ingredient (long pepper plant) with a very important. Daily wellness company, fertility blend for women, 90 veggie capsules. *results may vary from person to person. However, it's not a guarantee that each and every product found on the internet can boost male. However, there needs to be more research in the area of male fertility and supplements for us to be sure about any particular nutrient. At supplement reviews uk, our expert team weeds out t...
Komentar
Posting Komentar